치아 개수가 부족해요
(선천적 결손/매복치)
치아개수가 부족한 경우는 크게 선천적으로 치아가 생기지 않은 경우와, 위 아래 턱뼈 내에 매복되어 나오지 못한 경우로 나눌 수 있습니다.
매복치는 치아가 나올 공간이 부족하여 맹출을 할수 없었거나 과잉치 등이 맹출을 방해하는 경우, 맹출 위치가 불량하여 다른 치아에 걸린 경우 등 원인이 다양합니다. 치료하지 않고 방치할 경우 전체 치열궁의 형태가 틀어져 부정교합을 유발 할 수 있고, 인접 영구치의 뿌리를 녹여 정상치아를 손상시키기도 합니다. 심한 경우 매복된 치아 주변으로 물혹이 형성되어 수술이 불가피 한 경우도 어렵지 않게 볼 수 있습니다.
- 치료방법
- - 결손치
진단 결과에 따라 공간을 닫을수도 있고 공간을 만들어 보철 치료를 동반해야 하는 경우도 있습니다.
- - 매복치
정밀 진단 후 발치교정이 필요한 경우는 매복치를 소구치 대신 발치하여 치료할 수 있지만, 비발치 교정이 필요한 증례로 진단되면 교정치료를 통하여 해당위치에 공간을 마련하고 매복되어있는 치아에 장치를 연결하여 맹출을 유도합니다.
- 치료시기
- 매복치 등에 의한 맹출지연 및 결손의 경우 가능한 한 조기에 엑스레이 촬영을 통하여 정밀 진단을 받고 그에 맞는 적절한 치료계획을 수립하여 치료를 받아야 합니다. 어릴 때 치료를 받지 않고 방치된 경우 중요한 기능을 갖는 주요 영구치를 성인이 되어 완전히 포기해야 할 수도 있으므로 정기적인 치과 검진을 통해 조기에 발견하는 것이 무엇보다도 중요한 경우라 하겠습니다.
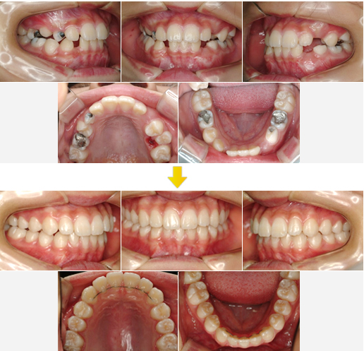
- CASE 01. 매복치 교정 전후

- CASE 02. 매복치 교정 전후

- CASE 03. 결손치 교정 전후
